切端咬合とは
切端咬合の概要と症状
噛み合わせは上顎が下顎の歯にかぶさっているのが正常です。前歯なら約3㎜出てさらに3㎜かぶさっています。切端咬合はかぶさっていない状態を言います。これがさらに進行すると反対咬合(下顎前突、受け口)となります。不正咬合だと気づいていない人もいます。
切端咬合になってしまう原因
骨格性
上下顎の水平方向での位置に問題がある場合があります。上顎骨の位置に対して下顎骨がわずかに前方に位置している場合です。正常な位置は上顎骨の位置に対して下顎がわずかに後方に位置します。下顎前突(受け口、反対咬合)の傾向があります。
歯
上顎前歯が内側に傾斜している事が多いです。
切端咬合をそのまま放置しておくとどうなるか?
歯への負担

この状態だと歯の先が欠けてきます。前歯は構造上は強くぶつかるような形をしていません。例えば臼歯部は歯根が二股。三股になっているために垂直的な圧に強い構造になっています。前歯は1根です。従って釘を板に打ち付けるようなイメージです。
前歯が短くなります(審美的な問題)
前歯の先が欠けると前歯が短くなります。切縁が対合している小さな下顎前歯とぶつかります。小さいので上顎前歯の切縁は一部だけが欠けたように削れてしまいます。前歯が短く見えて、審美的な点で問題です。欠けた部分も切端咬合のままでは治療できません。充填した物がまたすぐに欠けてしまうからです。
歯が縦に割れてしまうと抜歯になります。
稀にしか起きない事ですが、歯が縦に割れると治療できない事があります。歯肉縁の下まで割れてしまうと歯は抜歯になります。歯肉縁下では詰める樹脂などが接着しないのが原因です。乾燥できない、清潔な状態を保つ事ができません。正常な歯は構造上ひびが無数に走っています。
切端咬合の治療例
非抜歯(歯を抜かずに治療した)

切端咬合と叢生の症例です。叢生はそれ程は重篤な状態でありません。この状態でしたら非抜歯で治療が可能です。叢生を解消するために大きく前歯を前方に傾斜させるような症例には抜歯が必要です。前歯が前方に傾斜すると開咬になってしまいます。

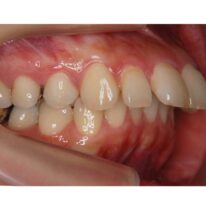
装置が外れる頃の状態です。この状態まで約1年を要しました。
抜歯症例

中切歯は切端咬合です。側切歯は中切歯と重なるようにはえています。この状態を排列するにはかなり上顎前歯を前方に傾斜させなければなりません。そうなると開咬になってしまいます。そこで上下小臼歯を抜歯して排列する事にしました。

全体にも前歯が内側に移動しました。とても安定した噛み合わせになりました。抜歯症例ですと治療期間は2年は必要になります。
この2症例はともに切端咬合のために前歯が欠けたり摩耗したりしていなかった事が幸いでした。
切端咬合の治療法、期間
切端咬合はそれだけの症状なら非抜歯で矯正治療が可能です。上顎前歯を数ミリ前方に出す。あるいは下顎前歯を内側にわずかに移動すれば治ります。その後に前歯の先が欠けた部分を治す事になります。以前はセラミックなどいわゆる差し歯にしていましたが、今は欠けた部分を樹脂で足すだけ回復させる事ができます。非抜歯でリンガルブラケットを用いれば、誰にも気付かれずに約1年でブラケットを外す事ができます。
切端咬合の治療例






