Case No.181
乱杭歯治療例
女性 30代 東京都大田区
治療例No.190 八重歯 大きな歯 大臼歯の欠損
来院時の写真
気になっている点(主訴): 八重歯 歯の欠損
アイ矯正歯科クリニックの患者様のご紹介で来院されました。歯が全体的に大きく、特に正中部にある中切歯がとても大きい歯です。犬歯は八重歯となり完全にブロックアウトされています。さらに側切歯がデコボコしています。下顎では第一大臼歯、第二大臼歯が欠損していて第三大臼歯(親知らず)がはえています。左下もすでに1歯小臼歯が抜歯されています。この状態では上の第一小臼歯を2歯、下顎はこれ以上は抜かずに治療を開始しました。
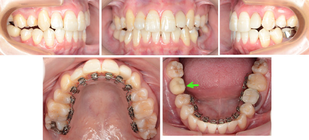
治療中の写真
ある程度矯正治療が進んだ状態を示します。緑色の矢印に示す歯のはインプラントの仮の歯です。2歯抜歯されているのでインプラントを治療前にインプラント専門医に埋入してもらいました。インプラントは1本です。大臼歯がこの状態では満足のいく矯正治療はできません。そこで治療に入る前に患者様には説明し、ご納得頂いてインプラントを埋入してもらい仮の歯を装着してもらいました。下顎前歯にも叢生があるのでこの排列に必要なスペースを想定してインプラントは少し後方に設置してもらいました。ブラケットが外れた後に仮の歯を交換します。
院長 福井の診断ノート
診断名 :
下顎に欠損歯を伴う著しい叢生
上顎は犬歯が完全に歯列からはずれています。それでもさらに側切歯に叢生があります。下顎は右側第一大臼歯、第二大臼歯がすでにう蝕により抜歯されていました。
抜歯部位 : 上顎両側第一小臼歯
治療に使用した装置 : リンガルブラケット
この治療に関して考えられるリスク(副作用)
欠損部位にいつインプラントをどの部位に入れるかを考えなければいけません。う蝕による抜歯の既往があります。毎回来院時にブラッシング指導、スケーリングを行います。
治療期間 : 30か月
費用 : 費用 : 135万円~155万円(税込)
※費用については分割払いが可能です。詳しくはこちら
患者様の声
先生方やスタッフのみなさんの対応がとても良く、安心して通えました。
FROM DOCTOR担当医より
患者様のご紹介で来られました。高校の同級生のフェイスブック繋がりだったようです。
う蝕の治療で歯を失っているのは成人の患者様ではよくある事です。アイ矯正歯科クリニックでは専門的な知識のある歯科医院と共同で治療計画を立てます。すべての矯正治療はリンガルブラケットでおこないました。
治療計画でまずは下顎に1本インプラントを設置してもらいました。そのインプラントにブラケットを接着して治療しました。上顎は第一小臼歯を抜歯してすべての治療を行いました。
歯が大きい事を気にされていました。そこでインプラントを設置した歯科医にエナメル質の範囲内でディスキングしてもらいました。これならしみる事もなくご自身の歯で過ごせます。
約30か月の治療期間を要しました。治療費は135万円~となっています。もちろん36回分割払いが可能です。無利息、手数料金なしですが、この患者様は分割払いと利用されませんでした。

よくある質問
矯正治療の料金