Case No.360
受け口上下顎前突治療例
女性 20代 横浜市鶴見区
治療例 No. 368 反対咬合 受け口 上下顎前突
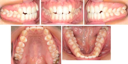
来院時の写真
気になっている点(主訴): 口元の突出 反対咬合
上下前歯が前方に傾斜しています。そのために口もとが出ています。側切歯(上顎前歯の2番目)が小さく円柱状です。リンガルブラケットで治療を開始しました。
治療中の写真
治療途中と治療前後の側面頭部X線規格写真を示します。口もとが出ているのが改善しました。
DIAGNOSIS
院長 福井の診断ノート
院長 福井の診断ノート
診断名 :
上下顎前突
前歯は反対咬合の傾向をしめしますが、実際には前歯が前方に傾斜していて口もとが出ています。第一小臼歯を抜歯してリンガルブラケットで治療しました。
抜歯部位 : 上下左右第一小臼歯
治療に使用した装置 : リンガルブラケット アンカースクリュウなどは使用していません。
この治療に関して考えられるリスク(副作用)
リスクは考えられません。口もとが内側に改善する事で前歯の粘膜の乾燥を失せぐ事ができます。また前歯が切縁でぶつかっている所があります。これは摩耗、破折の怖れがあります。
治療期間 : 18か月
※費用については分割払いが可能です。詳しくはこちら
FROM DOCTOR
一覧へ戻る
担当医より
集中的な治療を行う事で抜歯症例でも2年かからない事例が多くなっています。通院期間が短くなるのは遠方からの来院患者様には特に好評です。待合室に患者様があふれたり、待っている人がいる事はありません。リンガルブラケットを使用する場合は細かな調節が必要なので時間をかけて治療しています。

よくある質問
矯正治療の料金