Case No.359
乱杭歯治療例非抜歯(仮)
女性 20代 横浜市鶴見区
治療例 No. 367 乱杭歯 非抜歯
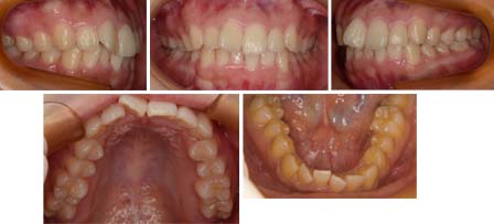
来院時の写真
気になっている点(主訴): 出っ歯
上顎中切歯が捻じれて外に飛び出しています。下顎前歯にも叢生があります。排列するのに必要な量えお計測して、口もとが前方に飛び出ないか?で非抜歯、リンガルブラケットで治療する事にしました。
治療中の写真
6か月後の状態です。歯を抜歯しない場合は1年を目安にします。アイ矯正では1度の治療時間を1時間お取りしてできる事はすべておこなう治療をおこなっています。その結果治療期間が短くなり、節約になります。
DIAGNOSIS
院長 福井の診断ノート
院長 福井の診断ノート
診断名 :
叢生
前歯部に限局した叢生がありました。と言っても前歯部リンガルブラケットを接着させて治るわけではありません。短期間で治療できました。
抜歯部位 : 非抜歯
治療に使用した装置 : リンガルブラケット アンカースクリュウなどは使用していません。
この治療に関して考えられるリスク(副作用)
リスクはありません。非抜歯の場合は横顔を特に気にして治療します。口もとが出てしまったら治療は失敗です。リンガルブラケットは外側に装置がないので患者様と確認しながら治療がおこなえます。
治療期間 : 6か月
※費用については分割払いが可能です。詳しくはこちら
FROM DOCTOR
一覧へ戻る
担当医より
非抜歯はとにかく治療期間が短いです。またリンガルブラケットは矯正力の作用点が内側にあるために歯の前方傾斜を防ぐ事ができます。

よくある質問
矯正治療の料金