Case No.356
受け口治療例非抜歯(仮)
女性 50代 神奈川県藤沢市
治療例 No. 364 反対咬合 叢生 50歳からの矯正治療
来院時の写真
気になっている点(主訴): 反対咬合 下顎前突
前歯部反対咬合です。すでに上顎右側第二大臼歯は失っています。また臼歯部には保険外の高額なセラミックなどで白く被せてあります。こういった白い保険外の歯には接着できません。変色しないとても硬い材質でできています。しかし、矯正治療できないわけではありません。色々な工夫することで治療は可能です。今回は非抜歯で限局的にリンガルブラケットを接着する事によってよい結果を得ました。
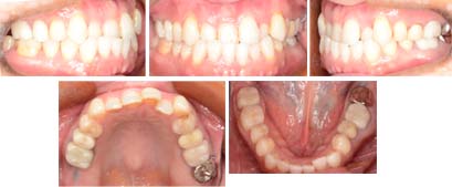
治療中の写真
治療の最終的な時期を示します。この時点でリンガルブラケットは上顎の第一小臼歯から前方、下顎は前歯部に接着して歯を動かしています。反対咬合が治るにつれて下唇が後方に移動し横顔がきれいになった事がわかります。
院長 福井の診断ノート
診断名 :
下顎前突症
骨格性というよりは歯の傾斜による反対咬合(下顎前突)でした。上顎前歯を排列しながら前方に移動する事で治療を終えました。必要に応じて装置を選択したりしています。しかし。表側に装置を着けるような事はしません。
抜歯部位 : 非抜歯
治療に使用した装置 : リンガルブラケット
この治療に関して考えられるリスク(副作用)
リスクはありません。反対咬合で一生を過ごすよりはとても心が楽になったのではないでしょうか。
治療期間 : 12か月
※費用については分割払いが可能です。詳しくはこちら
担当医より
成人の患者様には多くの被せ物や歯の喪失があります。マイナスからのスタートになりますが、決してあきらめずベストなゴールを目指します。リンガルブラケット(裏側矯正)を求めている患者様だけ募集しています。丁寧な治療をおこなっています。

よくある質問
矯正治療の料金