Case No.351
乱杭歯治療例非抜歯(仮)
男性 20代 横浜市鶴見区
治療例 No. 359 乱杭歯 非抜歯
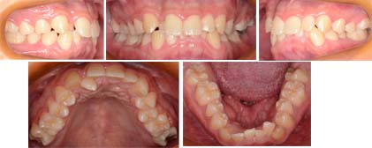
来院時の写真
気になっている点(主訴): 乱杭歯
かみ合わせが深く、上顎側切歯が完全にブロックアウトされています。また下顎前歯にも叢生があります。抜歯するかどうか悩みました。抜かずに治療を終える事ができました。
治療中の写真
治療前には上下前歯の正中線はずれていましたが、治療後には合わせることができました。非抜歯、リンガルブラケットで治療しました。非抜歯に決断したのは横顔に問題のない顔立ちだったという事が大きいです。口もとが入ります。しかし、この患者様にはそれが必要ありませんでした。リンガルブラケット(裏側矯正)は力点が内側にあるので排列しても前歯が前に出ません。横顔が悪くなる事はありません。
DIAGNOSIS
院長 福井の診断ノート
院長 福井の診断ノート
診断名 :
乱杭歯
排列する場所は不足していましたが、リンガルブラケット(裏側矯正)なら口元が出る事なく治療可能だと判断して非抜歯(歯を抜かない)治療を選択しました。内側にある側切歯を排列するのに時間がかかりました。
抜歯部位 : 非抜歯
治療に使用した装置 : リンガルブラケット
この治療に関して考えられるリスク(副作用)
リスクはありません
治療期間 : 24か月
※費用については分割払いが可能です。詳しくはこちら
FROM DOCTOR
一覧へ戻る
担当医より

よくある質問
矯正治療の料金