Case No.304
出っ歯乱杭歯治療例
女性 10代 横浜市港南区
治療例: No. 312 歯根が短い 乱杭歯 成人式に間に合わせてください
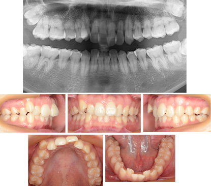
来院時の写真

気になっている点(主訴): 八重歯 乱杭歯
この患者様は5か月後の成人式までに前歯を何とか排列してほしいという強い希望をお持ちでした。小臼歯を抜歯して排列する必要がありました。1か月2度来院して頂きました。過去には芸能人の方でこういった経験があります。9月に小臼歯を抜歯して翌年の1月までには前歯を排列しました。成人式に間に合いました。リンガルブラケットの場合は治療途中でも成人式に出席できます。
もう一つ大きな問題ありました。歯根が元々短い方です。治療を急がなければならない。歯の健康には注意して強い矯正力は加えられない。レントゲン写真を見て、この状態なら歯根吸収は進行しないと判断しました。この判断は私の治療経験が来るものです。
治療中の写真

上には治療後のレントゲン写真をお見せしました。歯根吸収の進行はありませんでした。初診時と同じです。しかし、歯根が短い事には変わりがありません。これには今後とも注意が必要です。
綺麗に排列できました。成人式後も治療を継続しました。間に合うか?とドキドキした治療でした。すべての治療は舌側矯正(裏側矯正)リンガルブラケットでおこないました。矯正力が強くなるアンカースクリュウは使用していません。
お母さまのお話では“子供の頃から歯並びを気にしていたけれど言えなかった。” そうです。綺麗になってとても喜んで頂きました。
スピード矯正という俗語があります。これは正式に認められた言葉ではありません。意味しているのは手術をして歯を排列するという事です。受け入れられる人は少ないと思います。来院間隔を短くして治療期間を短くできました。こういった治療には経験と知識が必要です。
院長 福井の診断ノート
診断名 :
叢生
前歯部叢生と上顎前突がありました。そこで上顎第一小臼歯を抜歯してリンガルブラケットで治療をおこないました。全体の歯根が短い。
抜歯部位 : 上顎第一小臼歯
治療に使用した装置 : リンガルブラケット
この治療に関して考えられるリスク(副作用)
もともと全体の歯根が短かかったです。進行しないように注意して弱い矯正力で治療しました。強い矯正力は歯根吸収を起こすというのにはエビデンスがあります。結果としては歯根の長さには変化はありませんでした。
治療期間 : 12か月
※費用については分割払いが可能です。詳しくはこちら
担当医より