Case No.159
受け口乱杭歯治療例
女性 20代 鎌倉市
治療例No.168 骨格的には反対咬合の傾向のある叢生(でこぼこ)
来院時の写真

気になっている点(主訴): 八重歯 乱杭歯
上顎の側方歯間の幅が狭く、側切歯(2番目の前歯)、犬歯が内側に入って反対咬合になっています。下の歯にはそれほどでこぼこがありませんがタイトルに記載させて頂いたように骨格性には反対咬合の傾向があります。そのため舌のポジションが低位舌(ていいぜつ)です。低位舌は舌の安静位が下顎の歯列弓の中におかれています。舌が内側から押すために下顎歯列が拡大しやすく下顎前歯は前傾します。これは残念ですが小臼歯を抜いて治療しないと口もとが飛び出してしまい前歯の反対を治す事が出来ません。
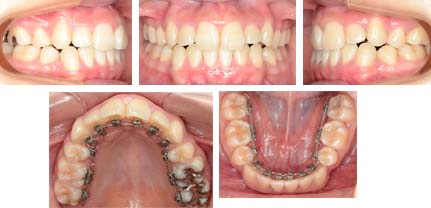
治療中の写真

後もう少し噛ませることができれば装置が外れます。治療は成功したと思います。
真ん中もぴったり合っています。患者様も喜んでくれました。
今回もアイ矯正歯科クリニックではアンカースクリュウは使用していません。外科処置は行っていません。表側にはまったく装置は装着していません。
上記の事はアイ矯正歯科が保証します。
院長 福井の診断ノート
診断名 :
骨格的には反対咬合の傾向を示す前歯部叢生症例
骨格は下顎前突傾向を示します。舌が常に下顎歯列の中にあって中切歯は反対咬合ではありませんが、治療は反対咬合と同じ治療をおこないました。
抜歯部位 : 上下顎両側第一小臼歯
治療に使用した装置 : リンガルブラケット
この治療に関して考えられるリスク(副作用)
小臼歯抜歯症例です。う蝕、歯周病に注意します。毎回来院時にブラッシング指導、スケーリングを行います。
治療期間 : 32か月
費用 : 費用 : 135万円~155万円(税込)
※費用については分割払いが可能です。詳しくはこちら
担当医より
舌が上に上がらず下顎歯列弓の中にあるため下顎歯列が拡大された状態でした。リンガルブラケットが裏側についていると舌が歯を押す事ができません。こういった症例にはリンガルブラケットが有利に働きます。