Case No.276
受け口治療例非抜歯(仮)
女性 30代 東京都大田区
治療例 No. 284 反対咬合 下顎前突
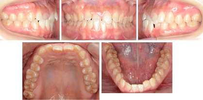
来院時の写真
気になっている点(主訴): 反対咬合 下顎前突
前歯の反対咬合(下顎前突)をリンガルブラケット(裏側矯正)で矯正治療を希望されて来院されました。
治療中の写真
小臼歯などを抜歯せずに治療をおこないました。非抜歯での治療は約1年が目安になります。
DIAGNOSIS
院長 福井の診断ノート
院長 福井の診断ノート
診断名 :
骨格性下顎前突
骨格的な原因もありました。叢生などデコボコはありませんでした。こういった場合は前歯の傾斜角度が重要になります。リンガルブラケットを用いて周囲の人に気づかれないように治療する事ができました。
抜歯部位 : 非抜歯
治療に使用した装置 : リンガルブラケット(フジタメソッド)
この治療に関して考えられるリスク(副作用)
治療に関してのリスクは予想していません。ありませんでしたが、下顎左側中切歯がわずかに歯肉退縮していました。これは咬合性外傷(こうごうせいがいしょう)によるものです。かみ合わせが反対になっているためにこの歯に想定外の力が加わったために耐えられなく起きた事です。このまま長期化すると歯にとってはよくありません。
治療期間 : 12か月
費用 : 費用 : 135万円~155万円(税込)
※費用については分割払いが可能です。詳しくはこちら
FROM DOCTOR
一覧へ戻る
担当医より

よくある質問
矯正治療の料金