Case No.261
受け口治療例非抜歯(仮)
女性 横浜市鶴見区
治療例 No. 269 受け口 八重歯 非抜歯
来院時の写真

気になっている点(主訴): 受け口 八重歯
受け口を治したくて来院されました。さらに八重歯があります。リンガルブラケットでの治療を希望されていました。
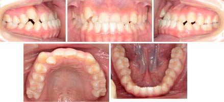
治療中の写真

受け口は治りました。八重歯も排列しました。安定した事を確認すれば装置を外そうと計画しています。
DIAGNOSIS
院長 福井の診断ノート
院長 福井の診断ノート
診断名 :
骨格性下顎前突
骨格的には下顎の前方位と上顎がわずかに後方位でした。手術での治療は希望していませんでした。上下顎骨の前後的な位置関係、さらに上下前歯の傾斜角度を考慮して非抜歯リンガルブラケットで矯正治療する事にしました。
抜歯部位 : 非抜歯
治療に使用した装置 : リンガルブラケット
この治療に関して考えられるリスク(副作用)
骨格的に厳しい症例です。しかし、上顎前歯の前方傾斜と下顎前歯の後方傾斜させる事で改善は可能であると判断しました。状態にはよっては上顎前歯の動揺が起きる事が予測できます。これを確認しながら治療を行いました。実際には起きていません。
治療期間 : 24か月
費用 : 費用 : 135万円~155万円(税込)
※費用については分割払いが可能です。詳しくはこちら
FROM DOCTOR
一覧へ戻る
担当医より