Case No.78
出っ歯乱杭歯治療例
女性 30代 横浜市鶴見区
治療例No.82 前歯が飛び出しています。叢生
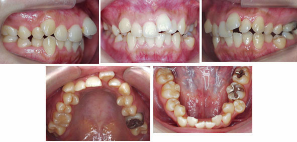
来院時の写真

気になっている点(主訴): 前歯の乱杭歯 叢生
上の左側の前歯が大きく飛び出てしています。
さらに下の歯は奥歯を除くすべての歯がでこぼこ(叢生:そうせい)になっています。こうなると上下の小臼歯を抜いて治療しなければ排列できません
ではどうなったでしょうか?
治療中の写真

前歯部のデコボコはなくなりました。
前歯もひっこみました。口もと、横顔も改善しました。
これなら大丈夫です。
こういった方をよく街中で見かけます。
きれいになおるのにな。。と思います。
口もとを隠すように話している人もいます。
今回も表側に装置は使用していません。
アンカースクリュウなどは使用していません。
上記事はアイ矯正歯科が保証します。
掲載に協力してくださってありがとうございました。
院長 福井の診断ノート
診断名 :
叢生 乱杭歯
全体にわたって叢生がありました。上下小臼歯を抜歯してそのスペースを使って歯を排列しました。
抜歯部位 : 上顎両側第一小臼歯 下顎両側第二小臼歯
治療に使用した装置 : リンガルブラケット
この治療に関して考えられるリスク(副作用)
前歯部がかなりの叢生状態です。こういった歯は萌出時に歯槽骨の成長が悪く、いわゆるブラックトライアングルができる事があります。現在はまったくその状態は認められません。
治療期間 : 30か月
費用 : 費用 : 135万円~155万円(税込)
※費用については分割払いが可能です。詳しくはこちら
担当医より
全体にわたって叢生がありました。上下小臼歯を抜歯してそのスペースを使って歯を排列しました。特に上顎前歯にありました。これは乳歯の脱落、歯の萌出に問題があったと考えられます。すべての治療をリンガルブラケットでおこないました。口もとがさがり、横顔もきれいになりました。