Case No.68
受け口治療例非抜歯(仮)
女性 30代 横浜市鶴見区
治療例No.72 反対咬合 受け口
来院時の写真

気になっている点(主訴): 受け口 反対咬合
反対咬合、受け口は日本人がもっとも気にする歯並びです。
反対咬合の患者様はこの症例の中であまり紹介していませんでした。
舌側矯正(リンガルブラケット)では治療できない?と思われるといけないので
掲載します。
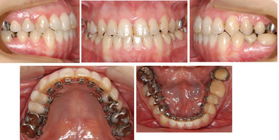
治療中の写真

装置を外す直前の写真です。
歯を抜かずに治療できました。
大変満足していただけました。
表側に一切の装置を装着することはありませんでした。
アンカースクリュウなどは使用していません。
反対咬合で悩まれている方の参考になるはずです。
掲載に協力してくださいましてありがとうございました。
DIAGNOSIS
院長 福井の診断ノート
院長 福井の診断ノート
診断名 :
反対咬合
上顎前歯を前方に傾斜する事で改善しました。非抜歯、リンガルブラケットで矯正治療をおこないました。
抜歯部位 : 非抜歯
治療に使用した装置 : リンガルブラケット
この治療に関して考えられるリスク(副作用)
過去にう蝕の治療痕が多くあります。矯正治療中は毎回来院時にブラッシング指導、スケーリングを行います。
治療期間 : 24か月
費用 : 費用 : 135万円~155万円(税込)
※費用については分割払いが可能です。詳しくはこちら
FROM DOCTOR
一覧へ戻る
担当医より