Case No.62
開咬治療例
女性 30代 横浜市鶴見区
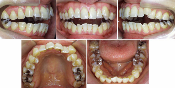
治療例No.66 前歯部開咬 大臼歯1歯しか噛んでいません
来院時の写真
気になっている点(主訴): 開咬
開咬というのは矯正治療の中でもっとも難しい分野になります。
上顎前突(出っ歯)、下顎前突(うけ口、反対咬合)は水平方向(横方向)の不正です。
開咬は垂直方向(上下方向)の不正になります。
したがって上顎前突の開咬、下顎前突の開咬などもあります。
この患者さんも前歯どころかほとんどの歯が噛んでいません。
前から6番目の第一大臼歯だけが噛んでいて
後の歯は噛んでいません。
ではいったいどうしてこうなってしまったのでしょうか?
原因は複雑です。
骨格的な原因、下のあごの形が大きく影響します。
機能的な原因、咀嚼、嚥下、発音、舌安静時の位置などです。
上下口唇の力が弱いのも原因になります。
そこでリンガルブラケット(見えない矯正治療)+MFT(筋機能訓練、トレーニング)
を併用して治療することになりました。
これがとても重要な事になります。
アイ矯正では担当を決めてしっかり練習してもらいます。
治療中の写真
治っていく状態をお見せしています。
どうですか?徐々に上下の前歯が近づいて行ってます。
この方はとても明るい性格の方で
来院した時は花が咲いたようです。
MFTもよく頑張ってくれました。
現在は装置が外れて3年が経ってます。
まったく後戻りしていません。
アイ矯正歯科では治療が終了になった後も
チェックに通いたいという方がいます。
そういう方には継続的に来ていただいています。
今でも後戻りしないために
トレーニングをご自分で行っているそうです。
ずばらしい結果です。
もちろんアンカースクリュウなどは使用していません。
表側から装置を装着することはありません。
院長 福井の診断ノート
診断名 :
開咬
上下前歯が前方に傾斜しています。小臼歯を4本抜歯して治療しました。同時に担当を決めて筋機能訓練をおこないました。リンガルブラケットで矯正治療しました。
抜歯部位 : 上下顎両側第一小臼歯
治療に使用した装置 : リンガルブラケット
この治療に関して考えられるリスク(副作用)
開咬は後戻りしやすい不正咬合です。筋機能訓練をおこない正常な状態を維持できています。これからもしっかりリテーナーを使用するように指導していきます。
治療期間 : 34か月
費用 : 費用 : 135万円~155万円(税込)
※費用については分割払いが可能です。詳しくはこちら
担当医より

よくある質問
矯正治療の料金