Case No.46
出っ歯乱杭歯過蓋咬合治療例
女性 30代 横浜市鶴見区
治療例No.50 過蓋咬合、叢生(そうせい:でこぼこ)
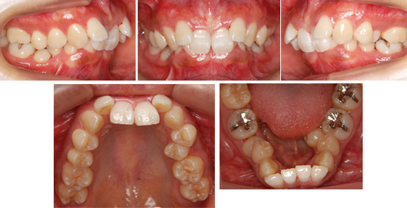
来院時の写真

気になっている点(主訴): 過蓋咬合 飛び出した前歯
記念すべき50症例目にふさわしい症例です。どの症例にしようか考えました。
噛みあわせの深いのでリンガルブラケット(舌側矯正、舌側矯正)はできないと言われたそうです。
それは間違いです。できない事は決してありません。
正面から上の前歯が下の歯におおいかぶさっていて見えません。
かなり噛みあわせが深いです。もちろん最初からすべての歯に装置は装着できません。
上下の歯列ですが
上顎は2番目の歯(側切歯:そくせっし)が飛び出ています。
下顎の歯列は鞍状型歯列(あんじょうがたしれつ)という歯並びです。
かなりデコボコです。患者さんは成人の女性の方です。
鞍状型歯列とは何でしょうか?少し説明を加えます。
これは下顎で特徴的にみられる歯並びです。
歯の萌出順序 (はえてくるじゅんばん) は前歯、6番目の第一大臼歯が6歳ではえてきます。
最後に前から5番目の第二小臼歯という順番ではえてきます。
ところがはえてくる場所がない場合
5番目の第二小臼歯が内側に倒れたままはえてこれなくなります。
これは馬の鞍(くら)に似た形の歯列になるので鞍状型歯列弓と言われています。
今だったら Ω オメガ型歯列とでも言うかもしれませんね。
下顎の歯は内側からはえてきます。したがって上顎のように八重歯にはなりません。
歯科用語は難しいですね。
(もしわからなければさらに説明します。メイルください)
真横から見ると2番目の歯が飛び出ています。こんな感じです。
噛みあわせが深く出っ歯だということがわかります。
では順番に治っていくところをお見せします。
ではかなり治療が進んだ状態もお見せします。
治療中の写真

どうですか?
かなり良くなっていると思いませんか?
鞍状型歯列は治っています。
下顎は抜いていませんが上顎は第一小臼歯を抜きました。
内側に倒れている第二小臼歯は起こして排列しました。
これは大変難しい治療でした。
時々、歯並びが悪いからと言って抜かれてしまう事があります。
抜かないでください。矯正治療すれば並びます。
噛みあわせも浅くなっています。
あともう少し右側を噛ませてあげれば装置をはずせます。
これから整えていきます。
患者さんは遠方からの来院でした。
こうしてながめてみると良く治ったと思います。
とても喜んでくれています。
あと半年もなくてはずれます。
決して治療中に表に装置を付けることはありませんでした。
アンカースクリュウなどは使用していません。
掲載に協力していただきありがとうございました。
噛みあわせが深くてもリンガルブラケットで治療できます。
あきらめずにまずはご相談ください。
この症例は J World Fed Orthod 2017; 6; 69-79に掲載されました。
また、アイ矯正歯科の副院長が執筆しました。
The Philosophy and Art of the Lingual Bracket Treatment P.153~166に掲載しました。
院長 福井の診断ノート
診断名 :
過蓋咬合
上顎前歯が内側傾斜しています。そのために過蓋咬合になっています。さらに側切歯が前方に飛び出しています。下顎の小臼歯部が乱食い状態です。上顎小臼歯を抜歯してリンガルブラケットで矯正治療しました。
抜歯部位 : 上顎両側第一小臼歯
治療に使用した装置 : リンガルブラケット
この治療に関して考えられるリスク(副作用)
考えられるようなリスクはありません。特に下顎小臼歯部が排列した事によってブラッシングがおこないやすくなりました。口腔内の健康には重要な事です。
治療期間 : 33か月
費用 : 費用 : 135万円~155万円(税込)
※費用については分割払いが可能です。詳しくはこちら
担当医より