Case No.16
出っ歯上下顎前突治療例
女性 20代 神奈川県藤沢市
治療例No.19 上下顎前突 他の医院での再治療
来院時の写真

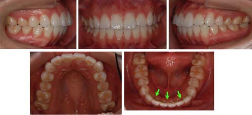
気になっている点(主訴): 上下顎前突 口もとの突出
この患者様はとてもお気の毒な方です。緑色の矢印は固定式保定装置を示しています。一度他の歯科医院で歯を抜かずに矯正治療しました。そのために一見きれいに並んでいますが口もとが飛び出してしまい、上下顎前突になっています。御本人の弁では“猿のような顔になってしまった。何度も改善してくれと訴えたが聞入れてもらえなかった”そうです。最初は歯科に関してかなりの不信感を持たれていました。こんかいは小臼歯を抜歯して治療をおこないました。
実際に上顎の歯列を見ればなんとなくわかってきます。小顔の患者様には不釣り合いなほど歯列が長いです。あれ?少し長くないか?っと思いませんか。実際に長いです。下顎も長いですよね。
これは歯科医が作った上下顎前突です。
に歯を抜かずに治療した経験があります。
最初の状態は私どもにはわからないのですが、
上下の前歯を前方に出して拡大してデコボコを並べたのでしょう。
そのために口元が前方に飛び出てしまいました。
普段は口を閉じるのが大変です。
いつも歯が出ていて横顔や顎のラインを気にされています。
お顔の写真はお見せすることはできません。
そのため症状が少しわかりにくいかもしれません。
歯列弓を見るととても長い感じを受けるはずです。
口元の突出というのを治したいと言われて来院されました。
今回は歯を抜かせていただきました。
前歯も中に入りました。
同じぐらいの倍率にしてみました。上顎の歯列もこんなに小さくなりました。
治療中の写真

お顔をお見せできないのが残念ですがかなり改善しました。
口元が下がり唇は閉じやすくなりました。
“口元が出ているが、歯並びはきれいなんです。”
でも口元をひっこめたいと言う方。これも不正咬合です。
鼻と唇を閉じると同じぐらいの高さにあるという方
こういった症状は上下顎前突なんです。
今回、掲載をお願いした理由は
最近、歯を抜かないで治療したあとにこの症状になったというご相談を多く受けます。再び今度は歯を抜いて治療されるという方も増えてきています。
そうなると治療に関する負担が増えます。
治療後の状態を考えて歯を抜くべきか、抜かないで治療すべきかを決めてください。
抜くのはどなたも嫌なものです。でも抜いた事に価値があれば抜くべきです。
掲載にご協力してくださいまして
ありがとうございました。大変感謝しています。
院長 福井の診断ノート
診断名 :
上下顎前突
上下の前歯が前方に傾斜している上下顎前突
抜歯部位 : 上下顎両側第一小臼歯
治療に使用した装置 : リンガルブラケット
この治療に関して考えられるリスク(副作用)
他の矯正専門歯科医院でおこなった非抜歯での矯正治療の再治療です。トータルでの治療期間が長くなります。歯根吸収がもっとも心配される事です。ゆっくりと弱い力で歯の移動をおこないます。
治療期間 : 24か月
費用 : 費用 : 135万円~155万円(税込)
※費用については分割払いが可能です。詳しくはこちら
担当医より
一度他の医院で矯正治療を受けた結果、上下顎前突という新しい不正咬合に移行しました。矯正治療は一生に一度の治療のはずですが、この患者様のように2度おこない、費用も期間も2倍必要になるのは大変お気の毒です。今もマウスピースで?とか部分矯正といいった安易なものに向く傾向があります。必ず簡単なものはそれだけの事しかありません。ご注意ください。