Case No.233
乱杭歯治療例
男性 20代 川崎市
治療例No.242 乱杭歯 歯が大きい
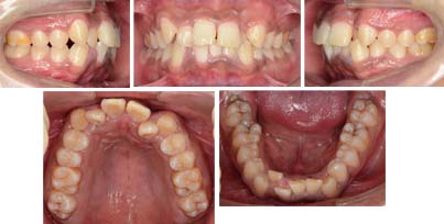
来院時の写真

気になっている点(主訴): 乱杭歯
歯が全体に大きいです。前歯が正中離開していて、全体に叢生が見られます。下の前歯は重なっています。リンガルブラケットで見えない矯正治療をご希望で来院されました。
治療中の写真

乱杭、叢生は解消できました。下の前歯が重なっているのも治療できました。少しですが上下前歯の正中線がずれています。あと少しでリンガルブラケットをはずす日が来ます。
院長 福井の診断ノート
診断名 :
叢生症例
顎の大きさに比べて歯が大きく、これが原因など考えられる叢生がありました。
抜歯部位 : 上下左右第一小臼歯
治療に使用した装置 : リンガルブラケット
この治療に関して考えられるリスク(副作用)
前歯の乱杭歯が重篤です。歯の生えている方向がバラバラです。歯根をなるべく動かす事によって予後の安定性の確保をしたいです。
治療期間 : 28か月
費用 : 費用 : 135万円~155万円(税込)
※費用については分割払いが可能です。詳しくはこちら
患者様の声

最初はうまく行くのか不安だったが、初めの説明で安心することができました。徐々に良くなっていく歯並びを実感しながら治療でき、苦痛を感じることは少なかった。矯正をやってよかったです。
FROM DOCTOR担当医より
ありがとうございました。私も最初下顎にブラケットを装着した時に上顎前歯とぶつかってしまい、それを回避するのが大変だった事をよく覚えています。とても協力的なよい患者様で私に自身はまったくストレスなく治療できました。これからは保定になります。頑張って下さい。副院長