Case No.200
受け口治療例
女性 20代
治療例No.209 八重歯 切端咬合
来院時の写真
気になっている点(主訴): 受け口 八重歯
上顎の八重歯と前歯が反対咬合気味なのを治療希望(主訴)にアイ矯正歯科クリニックに来院されました。中切歯が切端咬合です。切端咬合は前歯がかぶさっているのではなくて、切端、歯の先と先でぶつかっている状態です。このままにしておくと歯が削れたり、かけたりします。
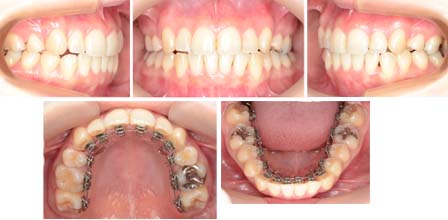
治療中の写真
上顎の小臼歯だけを抜歯してリンガルブラケットを用いて治療しました。下顎は歯を抜かずに治療しました。あと少しでブラケットをはずします。
院長 福井の診断ノート
診断名 :
八重歯と前歯部切端咬合
上顎に限局した重篤な叢生、八重歯がありました。前歯は切端咬合でした。
抜歯部位 : 上顎両側第二小臼歯
治療に使用した装置 : リンガルブラケット
この治療に関して考えられるリスク(副作用)
八重歯を下げてくる時に歯肉の付着部位が下がらないように注意が必要です。歯を萌出方向へ牽引する時は弱い力でおこないます。
治療期間 : 30か月
費用 : 費用 : 135万円~155万円(税込)
※費用については分割払いが可能です。詳しくはこちら
患者様の声
笑顔に自信が持てるようになりました。治療して頂き本当に良かったです。ありがとうございました。先生やスタッフの皆様もとても親切にしていただきました。
FROM DOCTOR担当医より
前歯が切端咬合でした。そのため最初は下顎の小臼歯の抜歯も考えましたが、抜歯すると必要以上に隙間が残ります。上顎のみ小臼歯を抜歯して治療を終えました。すべての治療はリンガルブラケットでおこないました。治療期間は28か月、治療費は135万円でした。切端咬合は前歯が破折することがある事を治療前に説明しました。これからは保定装置をしっかり使用してください。

よくある質問
矯正治療の料金